インプラント症例紹介
こちらの患者様は、右下の奥歯(7番目の歯:一般的に「一番奥の大きな奥歯」)が長年ないままの状態で来院されました。抜歯に至った経緯や時期についてはすでに記憶に残っておらず、お仕事や親御様の介護などご多忙な毎日を過ごす中で、食事にも不自由を感じないまま、「いつかは何とかしなくては」と思いつつも治療を先延ばしにされてきたそうです。
ご本人は医師でいらっしゃることもあり、日頃から歯の健康の大切さをご理解されており、デンタルIQは非常に高い方でした。インプラント治療についても、初診時から明確なご理解をお持ちで、これまでにも定期的な歯科健診を受けておられました。
欠損部の両隣にある歯、すなわち手前の大きな奥歯(6番目)とそのさらに奥にある親知らず(8番目)を削ってブリッジを作る選択肢については、「健康な歯を削ることに抵抗があり、将来的な問題にもつながる可能性があるため避けたい」とのお考えがありました。特に親知らずは、将来的に抜歯が必要になる可能性も高く、ブリッジの支台歯としての適応が不適当であるという判断が患者様の中でも明確でした。
こうした背景から、患者様は「長く安定してしっかり噛める」ことを何より重視され、見た目の審美性以上に機能性・長期安定性を大切にしたいというお気持ちがありました。インプラント治療が唯一かつ最良の選択肢であるとご理解いただき、治療方針が固まりました。
術前にはCT撮影を行い、骨の状態を精査した結果、骨量・骨質ともに良好であったため、歯ぐきを切開せずにインプラントを埋める「フラップレス術式」を採用しました。これにより、術後の腫れや痛みを最小限に抑えることができ、患者様の身体的負担を軽減することが可能となります。
使用したインプラントは、ストローマン社製のBL SLアクティブインプラント(直径4.1mm、長さ10mm)です。
このインプラントは、表面性状が特殊処理されており、骨との初期結合が非常に早く、短期間で安定することが特徴です。また、インプラントと骨の緊密な接触面が得られることで、長期的な安定にも優れています。
手術は、局所麻酔を行ったうえでインプラント体を埋入し、麻酔開始から完了までわずか29分という非常に短時間で終了しました。手術中の不快感や痛みもほとんどなく、術後も腫れや出血といった症状は最小限で、患者様は「思っていたよりも遥かに簡単だった」と驚かれていました。
術前口腔内![]() |
術後口腔内![]() |
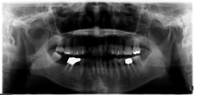
術前パノラマ![]() |
術前パノラマ![]() |
※写真はすべて患者様のご同意をいただいた上で掲載しております。
手術の翌日以降も、腫れや痛みの訴えは一切なく、普段どおりの生活を送られていました。事前にしっかりと手術内容や注意事項をご説明させていただいたこともあり、「安心して受けることができた」とのお言葉をいただいています。また、手術中のアシスタントによる声かけや配慮にも感謝のお言葉をいただきました。
その後、こちらの患者様は2025年現在に至るまで4か月ごとの定期メインテナンスを継続してくださっており、インプラント周囲の状態は非常に良好です。特にプラークコントロールがしっかりできており、患者様自身の意識の高さが維持されています。
治療後には「せっかく治した歯だから、他の歯もしっかりケアしたい」というお気持ちが芽生え、ホワイトニングにも取り組まれました。
現在では、ご自身の診療室でも患者さんに対して「お口の健康が全身の健康に与える影響」について積極的にお話しいただいているとのことで、インプラント治療を通じてご自身の健康観にも良い影響があったことを感じられているご様子でした。
インプラントの料金について
詳しくは料金表ページ( https://dairaku.jp/price.html#implant )をご覧ください。







