インプラント症例紹介
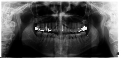
52歳の女性の患者様です。長年にわたり定期的にメインテナンスを続けておられ、歯ぎしりの自覚があり、ナイトガードを早い段階から使用されていました。右上の奥で噛むと違和感があるとのことで来院され、前から5本目と7本目の歯の根に亀裂が見つかりました。どちらも過去に治療を重ねてきた歯でしたが、内部まで亀裂が進行しており、残念ながら保存は難しい状態でした。
奥の7本目の歯は骨の高さが足りず、上あごの空洞(上顎洞)に非常に近い位置にありました。一方で、その手前の5本目の歯は骨の厚みは十分でしたが、噛む力が強く、歯ぎしりの影響を受けやすい位置でした。同じ上あごの奥歯でも条件がまったく異なっていたため、それぞれに適したインプラントを選択しました。
この部位では、骨がやわらかく初期の安定が得にくいことから、Zimmer社のスプラインインプラントを採用しました。このタイプはねじ山が深く、柔らかい骨でもしっかりと固定される構造になっています。骨の高さを補うためにソケットリフトを行い、骨補填材を併用して安定した支えを作りました。手術後も動揺や骨吸収は見られず、長期的に安定した状態を保っています。
手前の歯では、抜歯と同時にインプラントを埋め込む「抜歯即時埋入」を行いました。この部位では骨はしっかりしていましたが、噛む力が強く、歯ぎしりの影響を受けやすいため、高い精度で補綴物と連結でき、咬合力に強い構造を持つStraumann社のボーンレベルSLActiveを選択しました。このインプラントは表面が特殊に処理されており、骨との結合が非常に速く進む特徴があります。骨補填材(Bio-Oss、コラプラグ)を併用し、術後は軽度の出血が見られましたがすぐに落ち着き、治癒は良好でした。
術前口腔内![]() |
術後口腔内![]() |
術前パノラマ![]() |
術前パノラマ![]() |
※写真はすべて患者様のご同意をいただいた上で掲載しております。
本埋入後4か月で最終的な被せ物を装着しました。咬み合わせを調整し、ナイトガードを使用して就寝時の負荷を軽減しました。現在も4か月ごとのメインテナンスを継続しており、インプラントと周囲の歯ぐきは安定しています。骨質や噛む力、部位ごとの条件に合わせてインプラントを使い分けることが、長く良い状態を保つために大切だと改めて感じました。
インプラントの料金について
詳しくは料金表ページ( https://dairaku.jp/price.html#implant )をご覧ください。






